1常見食物!2歲童誤食「卡在氣管跳舞」緊急送醫 插管搶命「左肺全塌」醫搖頭了
近日傳出,一名2歲男童,因為誤食一個食物,竟然釀成生命危險!根據《ETtoday新聞雲》報導,林口長庚兒科急診醫師吳昌騰近期分享驚險病例,男童在家玩耍時被照顧者餵食,沒想到在大笑與吸氣之間突然嗆入,隨即出現劇烈咳嗽、呼吸困難與嘔吐反應,緊急送往急診搶救。

圖片來源:《ETtoday》,示意圖。
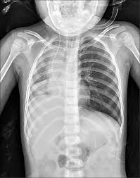
抵達醫院時,男童血氧一度維持在97%,但呼吸狀況明顯異常。醫療團隊立刻安排X光攝影與耳鼻喉科會診,然而兩次鼻咽鏡檢查都沒發現任何異物,影像報告看起來一切正常。但詭異的是,孩子的血氧數值忽高忽低,最低時僅剩下63%,只能仰賴高濃度氧氣勉強維持生命跡象,情況相當危急。

Advertisements
圖片來源:《自由時報》,示意圖。
深夜轉入加護病房後,醫師決定使用軟式支氣管鏡深入檢查,真相這才揭曉——原來有一顆花生卡在氣管裡,隨著呼吸節奏上下劇烈晃動,阻塞超過七成的氣道,形成致命的「球閥效應」,空氣能進卻無法順利排出,臨床上稱為「跳舞花生」。即便完成插管,花生仍持續移動,男童呼吸速率飆到每分鐘49次,低血氧問題始終無法改善。隔天清晨,花生滑進右主支氣管,導致右肺完全塌陷、縱膈腔偏移,情況更加惡化。醫療團隊緊急推進手術室,改用專門移除異物的硬式支氣管鏡處理,耳鼻喉科醫師順利取出這顆折磨孩子將近24小時的花生,術後血氧終於穩定回升至99%。

吳昌騰提醒,花生在X光下幾乎看不見,但對幼童卻是極度危險的異物,臨床診斷最關鍵的線索往往來自家長一句「他剛才好像嗆到了」。他也強調,花生、堅果類食物是嬰幼兒最常見的氣道異物,未滿4歲的孩子應該完全避免食用。網友們看完紛紛留言「太可怕了,以後絕對不敢亂餵」、「還好醫生夠專業救回來」、「家長真的要小心啊」、「花生這麼危險要注意」、「小孩吃東西千萬別讓他們邊玩邊吃」。
影片來源:華視新聞 CH52
資料來源:《ETtoday》